SÈTE ORTHODONTIE
Dr Zapata Fabienne et Dr Olivier Charlène
Orthodontie enfant et adulte Orthodontie invisible
LE CABINET
L'ÉQUIPE
LES SOINS
ORTHODONTIE DE L'ENFANT
ORTHODONTIE DE L'ADOLESCENT
ORTHODONTIE DE L'ADULTE
TRAITEMENT ORTHO-CHIRURGICAUX
ACCÈS
URGENCE
CONSEILS PRATIQUES
NOUS CONTACTER
1 avenue Victor Hugo, 34200 Sète
+33 4 67 74 33 97
Afficher le téléphone
SÈTE ORTHODONTIE
Dr Zapata Fabienne et Dr Olivier Charlène
Orthodontie enfant et adulte Orthodontie invisible
LE CABINET
L'ÉQUIPE
LES SOINS
ORTHODONTIE DE L'ENFANT
ORTHODONTIE DE L'ADOLESCENT
ORTHODONTIE DE L'ADULTE
TRAITEMENT ORTHO-CHIRURGICAUX
ACCÈS
URGENCE
CONSEILS PRATIQUES
NOUS CONTACTER
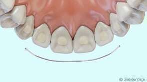
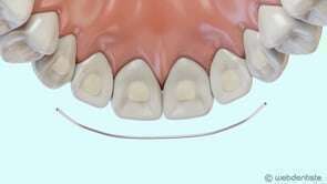
Fil de contention
Vidéos 3D
Partager
Twitter
Partager
Partager
Envoyer
Copier
En savoir +
Politique de confidentialité et charte cookie
Mentions légales
Conditions Générales Utilisation
Charte déontologique
Ordre national
Annuaires chirurgiens dentistes
Nous trouver
Recherche
Rechercher
Création par
Connexion
Vidéo en cours de lecture